Цифровая стоматология на Циолковского

многопрофильная клиника
Рейтинг 4.23
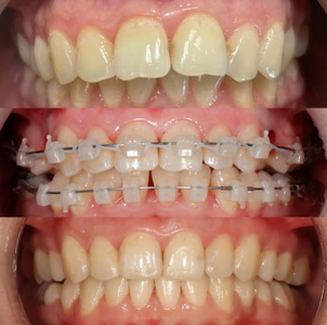
Клиника предоставляет полный комплекс услуг для всей семьи: профессиональная гигиена и отбеливание Flash, лечение кариеса и реставрации под микроскопом, имплантация зубов (в т.ч. Medentika, Straumann), протезирование, виниры, коронки, вкладки, исправление прикуса, брекеты, элайнеры, детская стоматология, пародонтология (лечение десен и профилактика), ортопантомограмма (панорамный снимок), КТ, 3D-сканирование.
Запись на приём

    Нажимая на "Записаться", вы даете согласие на обработку своих персональных данных.

    Специализации клиники

    Расположение на карте

    Наши контакты

    • Адрес Екатеринбург, Циолковского, д. 27
    Посмотреть нас
    на большой карте

    Расположение на карте

    • Адрес Екатеринбург Циолковского д. 27

    Цены на диагностику в - «Цифровая стоматология на Циолковского»

    • КТ (компьютерная томография)
    КТ зубов 3500 Руб.

    Стоматолог , Стоматолог-ортодонт

    Стаж 38 лет / Врач высшей категории

    Стоимость приема - 990 Руб

    Рейтинг 4.41

    Занимается лечением различных патологий зубо-челюстной системы детей и взрослых (пластинки, функциональные аппараты, брекет-системы).

    Стоматолог , Стоматолог-пародонтолог

    Стаж 2 6 лет /

    Стоимость приема - 990 Руб

    Рейтинг 4.30

    Занимается лечением всех форм кариеса и его осложнений, реставрации всех групп зубов с использованием высокоэстетических материалов светового отверждения, профессиональной гигиеной полости рта современными аппаратными методами, отбеливанием зубов, лечением заболеваний слизистой оболочки полости рта, лечением острых и хронических форм пародонтита, временным пломбированием корневых каналов, постоянным пломбированием корневых каналов.

    Стоматолог , Стоматолог-терапевт

    Стаж 16 лет /

    Стоимость приема - 990 Руб

    Рейтинг 4.40

    Проводит лечение пульпита и хронического периодонтита, лечение одонтогенных кист зубов, лечение кариеса зубов, лечение заболеваний десен (гингивит и пародонтит). Занимается диагностикой, профилактикой и лечением кариеса и его осложнений молочных и постоянных зубов.

    Клиники в этом городе

    многопрофильный медицинский центр
    Рейтинг 4.62
    Клиника семейной медицины доктора Бандуриной-это современный медицинский центр, специализирующийся на диагностике и комплексном лечении различных заболеваний. Основными критериями работы Центра являются:профессионализм, внимательное отношение к пациентам, конфиденциальность, комфортность и доступные цены. Прием ведут квалифицированные врачи, имеющие огромный практический опыт. Клиника оснащена новейшим оборудованием российского и западного производства, а так же использует медицинские препараты нового поколения. В медицинском центре можно пройти все виды диагностики:анализы, УЗИ- всех органов, сосудов, конечностей, ЭХОкг, ЭКГ, спирометрию, кольпоскопию и другие. Находится в 7 минутах ходьбы от метро Первомайская.
    медицинская клиника
    Рейтинг 4
    Сеть ортопедических салонов Ортека работает с 1998 года. Сеть ортосалонов, имеющая в своём формате лицензированный медицинский кабинет, в котором ведет приём врач травматолог-ортопед.
    многопрофильная клиника
    Рейтинг 4.41
    Клиника Дружковых на Сибгата Хакима 31- медицинский центр, специализирующийся на лечении заболеваний молочной железы, женской и мужской репродуктивной систем, в том числе одного из самых сложных течений болезни – злокачественных новообразований. В клинике доступно лечение рака молочной железы (операции, химиотерапия). Предлагаются УЗИ, рентгенография и маммография, лабораторные методы исследования, эстетические пластические операции. Оказываются услуги по направлению маммологии, гинекологии, урологии, эндокринологии, хирургии кисти. Прием проводится по предварительной записи.
    медицинская клиника
    Рейтинг 4.26
    Стоматологический центр предоставляет такие услуги: стоматология, имплантация зубов, лечение зубов, протезирование зубов, ортодонтия, удаление зубов, пародонтология, детская стоматология, отбеливание зубов, компьютерная томография зубов 3D, эстетическая стоматология. Прием проводится по предварительной записи.
    медицинская клиника
    Рейтинг 0
    Логопедическая клиника Буду Говорить предоставляет услуги по лечению всех видов речевых нарушений у детей и взрослых, имеет более 100 логопедических кабинетов по Москве и МО. Прием проводится по предварительной записи.