Цифровая стоматология на Хохрякова

многопрофильная клиника
Рейтинг 4.22
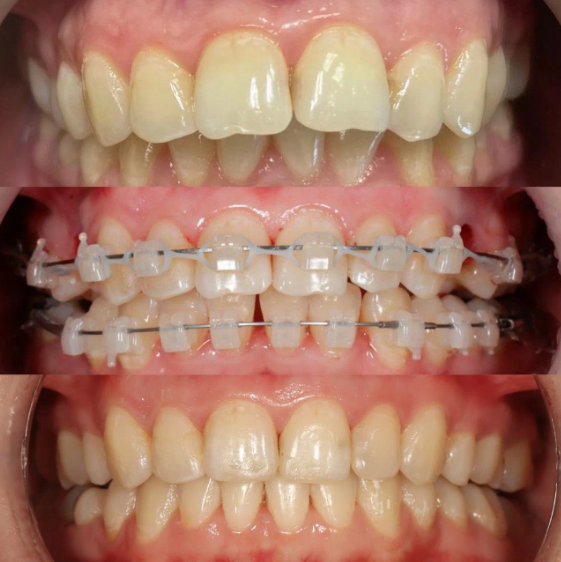
Клиника предоставляет полный комплекс услуг для всей семьи: профессиональная гигиена и отбеливание Flash, лечение кариеса и реставрации под микроскопом, имплантация зубов (в т.ч. Medentika, Straumann), протезирование, виниры, коронки, вкладки, исправление прикуса, брекеты, элайнеры, детская стоматология, пародонтология (лечение десен и профилактика), ортопантомограмма (панорамный снимок), КТ, 3D-сканирование.
Запись на приём

    Нажимая на "Записаться", вы даете согласие на обработку своих персональных данных.

    Специализации клиники

    Расположение на карте

    Наши контакты

    • Адрес Екатеринбург, Хохрякова, д. 63
    Посмотреть нас
    на большой карте

    Расположение на карте

    • Адрес Екатеринбург Хохрякова д. 63

    Цены на диагностику в - «Цифровая стоматология на Хохрякова»

    • КТ (компьютерная томография)
    КТ зубов 3500 Руб.

    Стоматолог , Стоматолог-ортодонт

    Стаж 8 лет / Врач высшей категории

    Стоимость приема - 990 Руб

    Рейтинг 4.30

    Занимается диагностикой и лечением аномалий развития зубов, неправильного прикуса. Также устанавливает брекеты и пластины.

    Стоматолог , Стоматолог-терапевт

    Стаж 12 лет /

    Стоимость приема - 990 Руб

    Рейтинг 4.11

    Занимается лечением и диагностикой заболеваний: периодонтит, периостит, ретенированные и дистопированные зубы, перикоронит и др. Проводит удаление зубов любой сложности.

    Стоматолог , Стоматолог-пародонтолог

    Стаж 2 6 лет /

    Стоимость приема - 990 Руб

    Рейтинг 4.30

    Занимается лечением всех форм кариеса и его осложнений, реставрации всех групп зубов с использованием высокоэстетических материалов светового отверждения, профессиональной гигиеной полости рта современными аппаратными методами, отбеливанием зубов, лечением заболеваний слизистой оболочки полости рта, лечением острых и хронических форм пародонтита, временным пломбированием корневых каналов, постоянным пломбированием корневых каналов.

    Клиники в этом городе

    многопрофильная клиника
    Рейтинг 4.2
    Мандарин — стоматология полного цикла. Клиника оказывает стоматологические услуги по всем направлениям: лечение кариеса и его осложнений (пульпит, периодонтит); лечение десен; профилактическая гигиена; удаление зубов, кист, хирургические операции, в том числе работа с мягкими тканями (пластика уздечки); эстетическая стоматология и отбеливание (виниры, скайсы, вкладки); протезирование зубов любой сложности и протяженности; 5 видов имплантации зубов (классическая, одномоментная, Все на 4 имплантах, Все на 6 имплантах, базальная имплантация); ортодонтия (исправление прикуса и неровно растущих зубов с помощью бректов, элайнеров, пластин); детская стоматология.
    медицинская клиника
    Рейтинг 4.13
    Центр психологической помощи предоставляет услуги сертифицированных психологов. Центр придерживается принципов конфиденциальности и полученную информацию использует только в интересах клиента. Прием проводится по предварительной записи.
    многопрофильный медицинский центр
    Рейтинг 4.35
    Многопрофильный медицинский центр. Осуществляет консультативный и диагностический прием взрослых и детей. В клинике работают специалисты по направлениям гастроэнтерологии, урологии, гинекологии, кардиологии, неврологии, терапии и т.д. Прием проводится по предварительной записи.
    медицинская клиника
    Рейтинг 4.18
    Стоматология ИНТАН на Восточно-Кругликовской д. 46/11 обладает современным оборудованием и материалами, клиника предоставляет профессиональную стоматологическую помощь с наибольшим комфортом. Предоставляет следующие услуги: лечение зубов;имплантация зубов; протезирование зубов; ортодонтия; реставрация зубов; компьютерная диагностика; отбеливание зубов; детская стоматология.
    многопрофильная клиника
    Рейтинг 4.2
    Стоматологический центр предоставляет такие услуги: стоматология, имплантация зубов, лечение зубов, протезирование зубов, ортодонтия, удаление зубов, пародонтология, детская стоматология, отбеливание зубов, компьютерная томография зубов 3D, эстетическая стоматология. Прием проводится по предварительной записи.