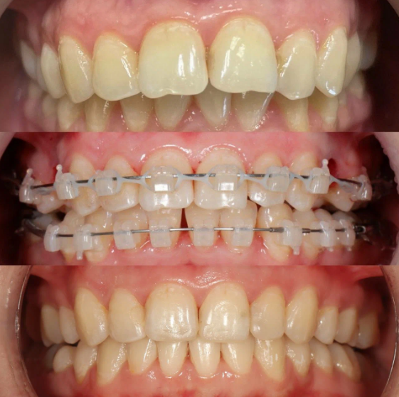
Клиника предоставляет полный комплекс услуг для всей семьи: профессиональная гигиена и отбеливание Flash, лечение кариеса и реставрации под микроскопом, имплантация зубов (в т.ч. Medentika, Straumann), протезирование, виниры, коронки, вкладки, исправление прикуса, брекеты, элайнеры, детская стоматология, пародонтология (лечение десен и профилактика), ортопантомограмма (панорамный снимок), КТ, 3D-сканирование.
Специализации клиники
Расположение на карте
Расположение на карте
- Адрес Екатеринбург Степана Разина д. 23
Запись на приём
Абдуллаева