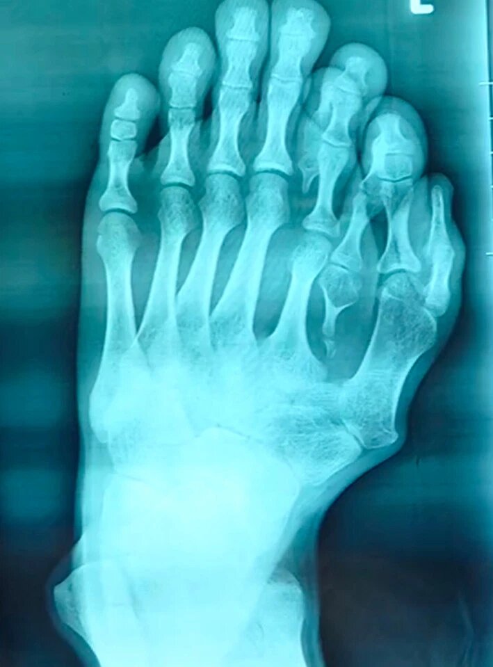
Человек, родившийся с четырнадцатью пальцами ног, десятилетиями жил с этой патологией, потому что его родители считали, что это была удача.
21-летний пациент, которого зовут просто «Аджун», говорит, что четыре дополнительных пальца на левой ноге вызывали у него столько стыда, что уже в 10 лет он перестал носить открытые сандалии.
Ачжун из города Люфэн в южнокитайской провинции Гуандун также рассказал, что ему было очень стыдно приглашать девушек на свидание.
Он сказал врачам, что его родители сразу же узнали о его состоянии, как только он родился, но наотрез отказались позволить врачам его прооперировать.
Аджун говорит, что вместо этого его семья обратилась за советом к гадалке, считая, что его пальцы на ногах — это «дар небес», который не следует удалять.
Он рассказывает: «Они были очень суеверными людьми, поэтому не решались ничего с этим делать. Они подумали, что если это будет выглядеть очень ужасно, я смогу просто прикрыть это уродство обувью.»
Очень редкая патология
Стремясь обратить судьбу вспять, Ачжун обратился за советом к специалисту в хирургическую больницу Шунде Хеппа в городе Фошань.
Его доктор Ву Сян сказал: «Очень редки случаи, когда такая серьезная деформация наблюдается без лечения у 21-летнего пациента.»
Доктор Ву добавил: «Другие больницы просто удалили бы лишние пальцы ног. Это было бы самым простым решением, но выглядело бы не самым лучшим образом.»
«Его естественный палец ноги находится снаружи, поэтому мы решили перенести его внутрь в самое идеальное положение, сместив пятую часть пальца и создав новый большой палец ноги.»
Девятичасовая операция
Доктор Ву и его команда провели девять часов в операционной, чтобы создать новую левую ногу Ачжун.
Молодой человек признался, что очень доволен результатом.
Он сказал: «Я перестал носить сандалии на улице с третьего класса начальной школы.»
У меня никогда не было девушки, потому что я настолько несовершенен. Я никогда не думал, что найду кого-то, кто захочет быть со мной.
Аджун
«Теперь я чувствую себя прекрасно. Я очень благодарен доктору Ву Сян. Я считаю, что теперь моя нога идеальна. Доктор показал мне фотографии моей ноги после операции, и я был теперь очень счастлив.»
Аджун продолжает выздоравливать в больнице и, как ожидается, будет выписан в ближайшие недели.

Такое странное уродство встречается крайне редко — но родители мальчика думали, что это большая удача. Фото: AsiaWire

Известный только как по имени Аджун, теперь этот человек говорит, что у него «идеальные» ноги. Фото: AsiaWire
Доктор Ву говорит: «Для детей, рожденных с деформациями, лучше всего обследоваться через три месяца после рождения. Хирургическое вмешательство может произойти уже в возрасте одного года, но не позднее шести лет. В принципе, в любое время, прежде чем они пойдут в школу, обычно все в порядке. Это лучше для психологического благополучия ребенка, но более ранние операции также приводят к лучшим результатам восстановления».





Odnoklassniki
VKontakte
Telegram
RSS