Магнитно-резонансная томография — самый информативный метод диагностики на сегодняшний день. При этом человек вообще не испытывает никакой боли и физического дискомфорта. Единственное, что его может беспокоить, это неприятное ощущение от замкнутого пространства, если пациент страдает клаустрофобией. Больше никаких недостатков у МРТ нет. Исследование можно проводить беременным, новорожденным детям, пожилым людям — всем без ограничений. Главное, чтобы человек по своим габаритом мог быть помещен в аппарат, если он закрытого типа, а именно такие аппараты МРТ более информативны.
Само исследование длится в среднем около 20 минут, если обследуется одна зона. Прекрасно подходит данный метод диагностики для выявления патологий суставов, позвоночника, брюшной полости, сердечно-сосудистой системы и многих других частей нашего тела. Одним из самых востребованных типов исследования можно смело назвать МРТ головного мозга, узнать больше о котором можно на сайте moskvia.ru.
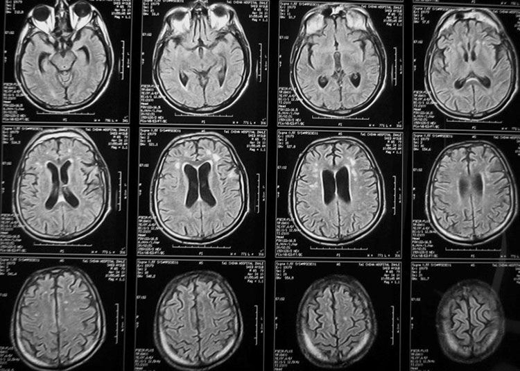
МРТ головного мозга помогает выявить серьезные патологии на самых ранних стадиях. Это могут быть аневризмы, опухоли, очаги демиелинизации. Также на МРТ хорошо видны аномалии развития головного мозга, анатомические дефекты, например, мальформацию Арнольда-Киари. Хорошо визуализируются на снимках послойно все структуры головного мозга, врач может с легкостью определить, нет ли у человек гидроцефалии, проблем с сосудами головного мозга. Для невролога практически незаменима томограмма, чтобы уточнить и подтвердить неврологический диагноз, потому что у многих болезней этой сферы очень похожие симптомы. Всего лишь за 20-30 минут исследования врач может получить неоценимую информацию о состоянии головного мозга пациента.
При этом МРТ может проводиться с контрастом и без. Контраст вводится в вену человека и начинает циркулировать по кровеносной системе, окрашивая хорошо сосуды на снимках. Необходимо контрастирование при подозрении на опухоли или для контроля лечения сосудистых патологий.
Есть очень много показаний для МРТ головного мозга:
- неврологическая симптоматика — фасцикуляции, фибрилляции, неустойчивость положения, потеря или значительное ухудшение памяти, гиперрефлексия;
- постоянные интенсивные головные боли, которые с трудом купируются;
- подозрение на аденому гипофиза;
- нарушение зрения, слуха;
- опухоли головного мозга;
- сосудистые патологии;
- нейродегенеративные заболевания;
- эпилепсия;
- подозрение на рассеянный склероз, боковой амиотрофический склероз.
Как вы видите, список показаний очень широк. В большинстве случаев невролог направляет пациента на МРТ, если подозревает у него патологию головного мозга. Часто это обследование дополняется другими.


Odnoklassniki
VKontakte
Telegram
RSS