Реставрация зубов с помощью композитных виниров в последнее время стала особенно востребованной. Подобная популярность объясняется привлекательной ценой, последняя же складывается из недорогого материала и простой технологии. Естественно, в зависимости от конкретной клиники и квалификации специалиста расценки будут отличаться.
Как это работает
Композитные виниры являются одним из самых современных способов реставрации зубов. С их помощью можно значительно повысить эстетику и функциональность. В ротовой полости используются тонкие накладки на зубы. Создаются они непосредственно на поверхности зубов.
Многие отмечают существенное преимущество: композитные виниры создаются непосредственно во рту пациента, а потому достаточно одного посещения стоматолога для того, чтобы выйти от него с обновлённой улыбкой. Срок «службы» её составит около 5 лет.
В каких ситуациях стоит воспользоваться композитными винирами
Реставрация данного типа показана в определённых случаях. Её выполняют, если:
- на поверхности зуба присутствуют неровности, которые можно исправить подобным образом;
- при наличии сколов эмали и трещин;
- при необходимости скорректировать межзубные промежутки;
- если требуется выровнять цвет зубов.
Важно понимать, что композитную реставрацию используют только на небольшом количестве зубов, и если дефектов в ротовой полости немало, то композитный материал не используется.
Всю указанную информацию и остальные тонкости специалист обязательно разъясняет пациенту ещё на этапе консультации. Именно поэтому важно уделить особое внимание тому врачу, который будет устанавливать виниры. Дополнительным плюсом станет многопрофильность конкретной клиники. Если специалисты мастерски выполняют и протезирование, и лечение, и шинирование зубов в Минске, это значит, что им можно доверять, особенно когда работа их подкреплена отзывами пациентов.
Особенности создания и установки композитных систем
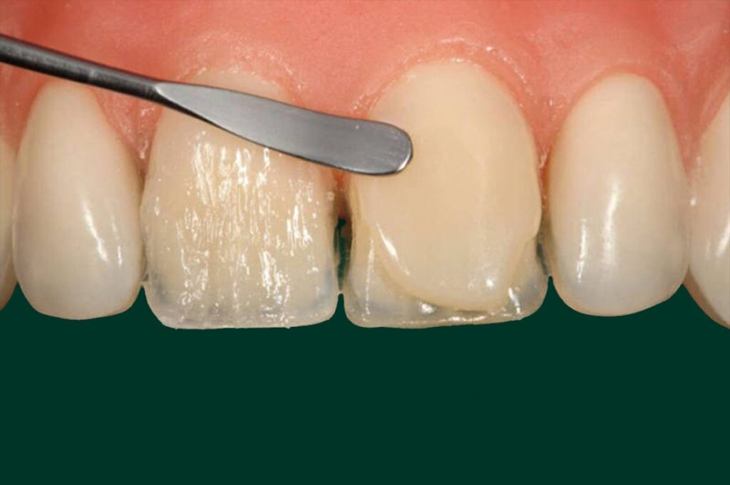
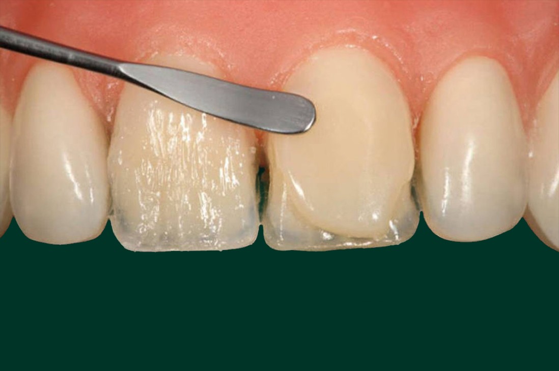
Виниры, изготовленные из светополимерных композитных материалов, устанавливаются прямым или непрямым способом. Первый можно сравнить с использованием обычной пломбы, когда композитный раствор лопаткой наносится на поверхность зуба. Для затвердевания его облучают фотолампой. Далее форма обтачивается, все излишки и неровности удаляются.
Непрямой же способ более длительный и займёт пару посещений специалиста. Первый этап – это препарирование зубов с целью придания нужной формы и снятия слепков. По последним в лаборатории изготавливаются виниры из композитных материалов. Именно они и устанавливаются на втором приёме.
На самом деле, отличие между прямыми и непрямыми винирами заключается не только в длительности процедуры. Непрямые изготовлены лабораторным путём, они более прочные, так как на них воздействует высокое давление и температура. В то же время, устанавливая прямые виниры, специалист способен на месте скорректировать их форму. Полного препарирования зубов при этом не нужно, так как обтачиваются только отдельные участки. Уход за винирами будет одинаково элементарным, каких-то дополнительных мер, кроме ежедневной гигиены полости рта, он не предполагает.
Что выбрать – композит или керамику
Ответить на этот вопрос может только сам пациент. Композитные виниры, безусловно, привлекают невысокой стоимостью и быстрой установкой. Однако служат они не так долго как керамика. Опять же, можно говорить о том, что керамические виниры более эстетичны, стоимость их довольно внушительна и времени на установку требуется немало. Во всём остальном композитные виниры выполняют ту же функцию, что виниры или люминиры, изготовленные из керамики, они эстетически реконструируют зубной ряд и делают это достаточно эффективно. Поэтому ориентироваться, в первую очередь, следует на возможности бюджета конкретного пациента.


Odnoklassniki
VKontakte
Telegram
RSS