Без рубрики
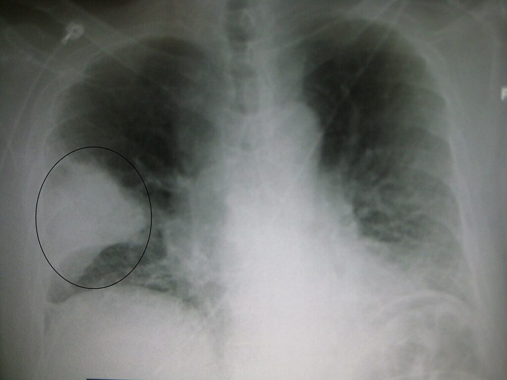
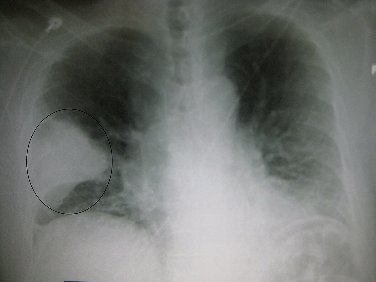
12 ноября — Всемирный день борьбы с пневмонией. Статистика
Ответить
Без рубрики
Главная » Без рубрики » 12 ноября — Всемирный день борьбы с пневмонией. Статистика
Об этом рассказал Вадим Дмитриевич Закиев, младший научный сотрудник лаборатории клинической фармакологии и фармакотерапии Российского геронтологического научно-клинического центра Пироговского Университета, врач-кардиолог.
Имеются противопоказания, не занимайтесь самолечением — обратитесь к специалисту!
По материалам Пресс-службы РНИМУ им. Н.И. Пирогова
Статьи от экспертов о здоровом образе жизни, семейных отношениях, болезнях, красоте и др. Советы экспертов по фитнесу, диетам, правильному питанию.Справочники.
Odnoklassniki
VKontakte
Telegram
RSS