Основными методами лечения пациентов с онкологическими заболеваниями сегодня остаются хирургическое лечение, химио- и радиотерапия.
Объемную кровоточащую опухоль околоушной области размером 15 сантиметров специалисты устранили на стадии распада тканей.
В апреле 2021 года в Международном онкологическом центре в Коломне открывается отделение радиотерапии.
Помимо физических побочных эффектов, с которыми в той или иной мере сталкиваются все пациенты, существуют побочные эффекты...
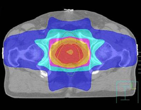
О суперсовременных, щадящих методах лечения рака рассказывают французские врачи. Радиотерапия в 3D-формате во Франции широко распространена.
ТЕРАПИЯ (от древне-греческого θερᾰπεία(therapeia) «врачебный уход, лечение»). В современной медицине понятие «терапия» употребляется в двух основных значениях
Odnoklassniki
VKontakte
Telegram
RSS