Медицинская одежда требует особого ухода, если ее владелец хочет, чтобы она прослужила долгий срок. Конечно, много зависит...
Особенности кредитования индивидуальных предпринимателей. Виды кредитов, требования к заемщикам и критерии выбора оптимального предложения.
При задымлении важно не паниковать, а действовать спокойно. Паника может привести к ошибочным действиям и замедлить эвакуацию....
Подробные советы и варианты аренды квартир в Новосибирске для длительного проживания. Информация о районах, ценах и условиях...
Методы полной имплантации All-on-4, All-on-6 — что это, в чем разница, что лучше. Преимущества протезирования всей челюсти...
Приемка квартиры в новостройке без отделки требует внимательности и знаний. Чек-лист, инструменты и советы экспертов помогут избежать...
Генератор на 25 кВт подходит для дома, стройплощадок и бизнеса. Расскажем о том, как его мощность справляется...
Когда речь заходит о системах безопасности, одним из наиболее важных элементов является надежное электропитание. В случае сбоя...
Монтаж СКУД — это не просто установка оборудования. Ошибки на любом этапе ведут к сбоям, угрозам безопасности...
Остеопластика восстанавливает костную ткань там, где её не хватает или она срослась неправильно, обеспечивая надежную опору для...
Как проходит обучение медиков, проводящих предрейсовые осмотры водителей, и какие требования предъявляются к ним — в обзоре.
Основные характеристики и преимущества установки памятников из гранита на могилу.
Микрозаймы могут помочь в сложной ситуации, но важно знать все нюансы. Разбираем, как выбрать выгодные условия и...
Узнайте, как легко найти информацию о налоге на недвижимость через портал Госуслуги. Пошаговая инструкция и советы по...
При аренде квартиры часто возникает путаница: что платить вперед, что вернётся, а что может остаться у арендодателя....
Представляем подборку азиатских фильмов, раскрывающую разнообразие жанров и культур стран Восточной Азии.
Государственные и региональные льготные ипотечные программы помогают приобрести жильё по сниженным ставкам. Мы разберём, кто может претендовать...
Узнайте, где действует сельская ипотека в России, какие регионы участвуют и как получить выгодные условия для покупки...
Узнайте, сколько налога платить за аренду квартиры. Рассматриваем ставки, налоговые вычеты и важные аспекты для арендаторов и...
Описание особенностей различных методов проведения УЗИ малого таза и подготовки к такому обследованию.
Выбор дебетовой карты «Мир» кажется простым только на первый взгляд: важны не громкие обещания, а реальные комиссии,...
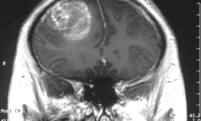
Методы исследования головного мозга разделяются на "узкие", дающие минимум сведений о данном органе, и более информативные.
Описание состояний, которые могут послужить поводом для проведения рентгена черепа. Что он показывает?
С какой целью проводятся медицинские осмотры? Для чего предназначены предварительные медосмотры? Особенности периодических осмотров
Odnoklassniki
VKontakte
Telegram
RSS